A otite média com efusão (OME) é uma condição comum, especialmente em crianças, que pode passar despercebida, mas que pode comprometer significativamente a audição e o desenvolvimento da linguagem. Neste post, vamos explorar o que é a OME, suas causas, sintomas, formas de diagnóstico e tratamento, com dados atualizados da literatura médica.
O que é a Otite Média com Efusão?
A otite média com efusão é caracterizada pelo acúmulo de líquido no ouvido médio, região atrás do tímpano, sem infecção. Esse líquido, de acordo com o tempo de persistência, pode ser seroso (mais aquoso) ou mucoso (mais espesso). Embora mais comum na infância, também ocorre em adultos e idosos.


O Dr. Tobias Torres é médico otorrinolaringologista, especialista em cirurgia do ouvido, com ampla experiência no diagnóstico e tratamento das doenças do ouvido. Atendimento humanizado e baseado em evidências, oferece cuidado completo para sua saúde auditiva em Blumenau/SC.
Como a Otite Média com Efusão se Forma?
O ouvido médio é uma cavidade preenchida por ar, localizada atrás do tímpano, conectada ao fundo do nariz através da tuba auditiva. Essa estrutura ventila e regula a pressão do ouvido médio. Quando a tuba auditiva está obstruída - em infecções respiratórias, alergias, aumento das adenoides ou alterações anatômicas — o ar não circula adequadamente, gerando uma pressão negativa atrás do tímpano que desloca os líquidos dos vasos sanguíneos e tecidos para dentro do ouvido médio.

Segundo um estudo de revisão publicado no Journal of the American Medical Association (JAMA) em 2021, cerca de 90% das crianças com menos de 5 anos terão pelo menos um episódio de otite média com efusão, e 30% apresentam recorrência ou persistência por mais de 3 meses.
Sinais e Sintomas
Por apresentar poucos sintomas, a otite média com efusão pode passar despercebida em muitos casos. Sendo assim, deve-se ficar atento a alguns sinais e queixas:
- Perda auditiva
- Sensação de ouvido tampado ou pressão no ouvido
- Dor leve
- Atraso na fala ou linguagem (em crianças)
- Irritabilidade e falta de atenção escolar
- Tontura ou desequilíbrio
Por não ser um quadro infeccioso, não causa febre. Em adultos, pode haver queixa de zumbido e desconforto auditivos.
Diagnóstico da Otite Média com Efusão
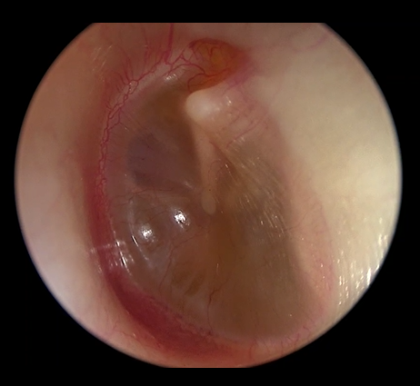
O diagnóstico da OME é feito no consultório durante o exame dos ouvidos. A otoscopia, exame físico dos ouvidos, revela um tímpano opaco, com presença de líquido visível atrás da membrana e, eventualmente, retraído e avermelhado. Em casos duvidosos, a timpanometria, é um exame essencial, pois mostra a mobilidade do tímpano. Resultados do tipo curva B (curva achatada) sugerem presença de acúmulo de líquido.
A presença de líquido, normalmente, provoca uma perda auditiva reversível. A audiometria tonal e vocal é fundamental para confirmar o tipo e o grau de perda auditiva causada pelo acúmulo de líquido atrás do tímpano.
Um estudo da Cochrane Library (2020) mostrou que a OME pode causar uma perda auditiva média de 25 dB, o que pode interferir significativamente na percepção da fala em ambientes com ruído.

Quando a Otite Média com Efusão se Torna Preocupante?
A maioria dos casos de OME se resolve em até 3 meses. Porém, a persistência além desse período, especialmente em crianças em idade de aquisição da linguagem, representa risco para o desenvolvimento cognitivo e social.
Segundo a American Academy of Otolaryngology – Head and Neck Surgery (AAO-HNS), o tratamento ativo deve ser considerado quando:
- A otite média com efusão persistente
- Há evidência de perda auditiva maior que 20 dB;
- A criança com atraso de fala ou problemas escolares;
- A OME recorrente (4 ou mais episódios em 12 meses).
Tratamentos Disponíveis
1. Medicamentoso
O tratamento medicamentoso inicial tem como objetivo melhorar o funcionamento da tuba auditiva. Busca-se ação anti-inflamatória local com lavagem nasal e uso corticóides tópicos. O uso de antibióticos, descongestionantes e anti-histamínicos não é recomendado rotineiramente, conforme meta-análise publicada no BMJ (2022), por não acelerar a resolução e trazer riscos de efeitos adversos.
2. Cirúrgico: Colocação de Tubo de Ventilação
Em casos refratários ao tratamento clínico ou quando opta-se por uma resolução mais imediata do quandro de otite com efusão, indica-se a colocação de tubo de ventilação por meio de uma microcirurgia. É o tratamento mais eficaz nos casos crônicos. Por meio de uma pequena incisão do tímpano, denominada timpanotomia, cria-se uma via secundária de ventilação do ouvido médio, garantindo aeração contínua e absorção do líquido. Em seguida, posicina-se o tubo de ventilação no local nessa incisão para garantir um ventilação contínua do ouvido médio. O tubo de ventilação é expulso espontaneamente pelo tímpano, sem necessidade de nova cirurgia para sua retirada.
Um estudo publicado no New England Journal of Medicine (2020) com mais de 600 crianças mostrou que a colocação de tubos reduziu significativamente o tempo de otite média com efusão, melhorou a audição e diminuiu o uso de antibióticos, com taxa de sucesso acima de 85%.

3. Cirúrgico: Adenoidectomia
Em casos recorrentes ou com sinais de evidente obstrução da tuba auditiva pela hipertrofia adenoidiana, a remoção das adenoides pode ser indicada em associação com a colocação dos tubos de ventilação. As adenoides hipertróficas contribuem para a oclusão e mal funcionamento da tuba auditiva. Segundo a Cochrane Review (2021), a adenoidectomia associada à colocação de tubos melhora os resultados, principalmente, em crianças acima de 4 anos.
Complicações Possíveis da Otitem Média com Efusão
A otite média com efusão não tratada pode evoluir para:
- Otite média aguda recorrente
- Otite média crônica com perfuração timpânica;
- Retração timpânica
- Colesteatoma
- Atrasos significativos na linguagem e dificuldades escolares.
Prognóstico
A maioria das crianças melhora com tratamento clínico. Poucos casos são refratários e irã necessitar de intervenção cirúrgica. O diagnóstico e acompanhamento com otorrinolaringologista é fundamental para evitar complicações e garantir um desenvolvimento saudável da linguagem e da audição.
Prevenção
Algumas medidas ajudam a reduzir a ocorrência de OME:
- Tratar rinite alérgica e sinusites;
- Evitar exposição ao cigarro;
- Amamentar até os 6 meses de idade;
- Manter vacinação em dia (especialmente contra influenza e pneumococo).
Conclusão
A otite média com efusão é uma condição frequente e silenciosa, mas com grande potencial de impacto no desenvolvimento infantil. Diagnosticar precocemente e tratar adequadamente é fundamental para evitar perdas auditivas, problemas de linguagem e desenvolvimento de otite média crônica.
Se você percebeu que seu filho ou você mesmo tem dificuldade auditiva, sensação de ouvido tampado ou atraso na fala, procure um otorrinolaringologista especializado. Avaliações simples podem esclarecer o diagnóstico e indicar o melhor tratamento. Em muitos casos, uma cirurgia rápida e segura pode transformar a qualidade de vida do paciente.